Tưởng tượng rằng bạn có thể có một hàm răng trắng sáng không bị mảng bám hay sâu răng. Thật tuyệt vời, phải không?
Khi đó bạn có thể tự tin cười nói không lo hôi miệng làm khó chịu đến người đối diện, bạn cũng không cần phải che đậy sự tự ti của mình về hàm răng, bạn có thể giao tiếp vui vẻ thoải mái tự tin nhất với mọi người xung quanh.
Nhưng thực tế, ngay bây giờ, bạn chẳng có gì cả!
Bạn vẫn đang ngồi trước màn hình laptop, đọc bài viết này, và vẫn đang tìm kiếm cách làm thế nào để không còn bị cảm giác hôi miệng, răng ố vàng và sâu răng đeo bám.
Nhưng, bạn không nhất thiết phải như vậy.
Bạn có thể bắt đầu từ việc cạo vôi răng. Và, nó không quá khó để bạn có thể áp dụng cho mình.
Tất cả câu trả lời đều nằm ngay trong trong bài viết dưới đây. Bạn chỉ việc đọc nó!
1, Vôi răng là gì?

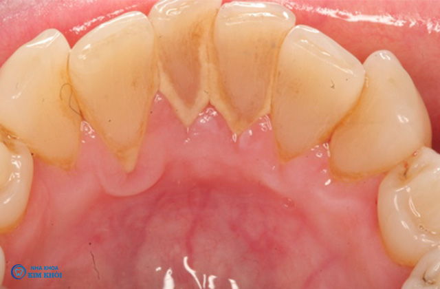
Vôi răng hay cao răng là những mảng bám mảnh vụn thực phẩm còn sót lại sau khi ăn. Đã bị vôi hóa bới vi khuẩn có trong nước bọt muối canxi carbonat và calcium phosphate. Mảng bám thức ăn thường lắng đọng thành lớp dày ở thân răng, nướu có màu trắng đục hoặc vàng nâu mất thẩm mỹ và gây tổn hại nhiều đến răng miệng.
2, Những tác hại của vôi răng đối với sức khỏe răng miệng

Hơi thở nặng mùi
Phá hủy men răng khi mảng bám tích tụ quá nhiều, dày và lâu ngày. Nguy cơ sâu răng càng cao nếu men răng bị tổn thương càng nặng.
Nơi cư ngụ của nhiều loại vi khuẩn lên men răng. Carbohydrate tạo ra acid gây sâu răng như Streptococcus mutans, Lactobacilli...
Tác nhân gây ra các bệnh ở miệng, họng: viêm niêm mạc miệng, viêm họng, viêm amidan, lở miệng...
Gây chảy máu chân răng, ê buốt khi ăn uống.
Hiện tượng tụt nướu làm lộ chân răng.
Đây là nguyên nhân chính gây ra các bệnh răng miệng. Những bệnh như viêm nha chu, tiêu xương ổ răng, viêm tủy răng ngược dòng. Có thể khiến răng lung lay, rụng răng gây mất thẩm mỹ.
3, Vì sao nên cạo vôi răng?
Những tác hại của vôi răng đối với sức khỏe răng miệng đã được nêu ở trên. Vì lấy vôi răng là việc vô cùng quan trọng. Nên lấy vôi răng định kỳ 3-6 tháng một lần để bảo vệ răng miệng. Tránh những tác hại của vôi răng gây ra. Vôi răng gây hôi miệng ngoài ra còn tại cảm giác tâm lý tự ti khi giao tiếp.
4, Cạo vôi răng có đau không, có ê buốt không?

Cạo vôi răng có đau không đây là câu hỏi của nhiều người khi thực hiện. Tùy vào tình trạng sức khỏe răng miệng của từng người sẽ quyết định độ ê buốt cũng như có đau không. Những người đang mắc một số bệnh lý như viêm nha chu, viêm nướu, lợi sưng đỏ thì việc lấy cao răng có thể ê buốt hơn so với người có sức khỏe răng miệng tốt.
Mức độ vôi răng cũng ảnh hưởng đến việc có đau không. Những cao răng ở thân răng có thể nhìn thấy bằng mắt thường việc cạo vôi răng diễn ra nhanh chóng khoảng 15-30 phút tuy nhiên cũng không gây ê buốt hay chảy máu chân răng.
Trường hợp vôi răng bị lắng đọng bám chặc dưới nướu răng gây viêm, sưng. Việc lấy vôi răng có thể gây ê buốt nhưng sẽ nhanh chóng biến mất sau vài ngày cũng như không gây ảnh hưởng đến khả năng ăn nhai.
Kỹ thuật lấy vôi răng
Trước đây bác sĩ nha khoa thường lấy cao răng bằng bộ dụng cụ cầm tay hoặc máy thổi cát để loại bỏ vôi răng. Hiện nay dụng cụ cạo vôi răng bằng song siêu âm được ưa chuộng hơn. Kỹ thuật hiện đại giúp giảm thiểu tối đa ê buốt rút ngắn thời gian điều trị. Sóng siêu âm an toàn tuyệt đối với cơ thể loại bỏ hoàn toàn mảng bám mà không xâm lấn răng và nướu.
Dụng cụ lấy cao răng bằng sóng siêu âm. Cấu tạo máy gồm 2 đầu, một đầu là tay cầm đầu còn lại nhỏ như đầu tăm sắc bén có thể chuyển động linh hoạt tới các ngóc ngách. Hoạt động với tần suất 28-30 kHZ độ rung vừa đủ để các mảng bám tự vỡ ra không làm tổn thương đến nướu và xung quanh.
Tay nghề của bác sĩ
Việc lấy vôi sẽ nhẹ nhàng không tác động đến má trong, lưỡi thì bạn hoàn toàn không có cảm giác đau nhức nếu nha sĩ giàu kinh nghiệm trình độ chuyên môn cao. Lấy vôi răng rất đơn giản không ảnh hưởng đến mô mềm không gây đau đớn hay tổn thương men răng nhưng kỹ thuật này đòi hỏi bác sĩ phải tỉ mỉ nhẹ nhàng trong từng thao tác nhỏ.
5, Lấy cao răng nhiều có tốt không?
Phương pháp giúp làm sạch các mảng bám cứng ra khỏi bề mặt nướu, mang nhiều lợi ích cho răng miệng. Tuy nhiên việc lạm dụng lấy vôi răng nhiều lần có thể làm tổn thương cho răng. Bạn nên cạo vôi răng 3-6 tháng một lần. Tùy theo mức độ nhiều hay ít của vôi răng mà bác sĩ chỉ định thời gian nên lấy vôi răng phù hợp.
6, Những lưu ý sau khi cạo vôi răng mà bạn nên biết

Sau khi lấy cao răng mô nướu và men răng rất nhạy cảm. Răng miệng rất dễ bị vi khuẩn xâm nhập và tích tụ lại mảng bám nếu chăm sóc không đúng cách. Một số lưu ý sau khi thực hiện cạo vôi răng như:
Nhiệt độ quá thấp hoặc quá cao có thể gây tổn hại đến men răng khiến răng ê buốt vì thế không nên ăn các thực phẩm quá nóng hoặc quá lạnh.
Không nên hút thuốc, sử dụng rượu bia hay các loại thực phẩm sậm màu hoặc chứa nhiều axit. Cụ thể như trà, cà phê, nước ngọt, socola,…
Hạn chế ăn các thực phẩm quá mềm, dẻo do chúng dễ bám và hình thành cao răng. Nên có chế độ ăn uống đầy đủ chất dinh dưỡng để răng chắc khỏe.
Đánh răng ít nhất 2 lần một ngày vào buổi sáng và tối.
Khi chải răng nên dùng bàn chải có lông mềm, lực vừa phải, đặt bàn chải theo chiều dọc hoặc xoay tròn. Tránh chải răng theo chiều ngang vì nó có thể làm mòn men răng.
Sử dụng nước muối sinh lý và chỉ nha khoa nhầm loại bỏ mảng bám sau khi ăn còn sót lại.
Khám và lấy cao răng theo định kỳ hoặc theo sự chỉ định của bác sĩ.
Tay nghề của bác sĩ ảnh hưởng lớn đến việc cạo vôi răng có đau không. Hạn chế tình trạng ê buốt bạn nên lựa chọn các phòng khám nha khoa uy tín, bác sĩ giàu kinh nghiệm, trang thiết bị hiện đại để thực hiện.
>>Nội dung có liên quan:
Sâu răng ở trẻ và cách phòng ngừa hiệu quả
Trám răng có đau không? Cách giảm đau hiệu quả an toàn
==================
PHÒNG KHÁM NHA KHOA KIM KHÔI
Địa chỉ : 164 -166 Ba Mươi Tháng Tư, P. Trung Dũng, TP.Biên Hòa, Đồng Nai
Website: www.nhakhoakimkhoi.com
Hotline: (0251) 3819478 – 0903 754 438
Thời gian làm việc T2- CN :8:00 -11:00, 15:00 -21:00